乳腺腫瘍 & 子宮蓄膿症

  • 投稿日:
  • by

小型犬の乳腺腫瘍の手術のために術前検査・・・!

血液検査・・・OK !

胸部レントゲン・・・OK !

心エコー・・・OK !

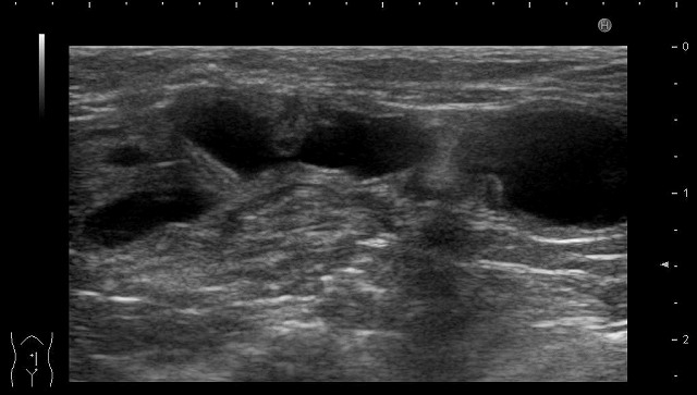
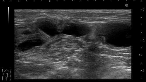
腹部エコー・・・異常!

08150855.jpg

 

直径約8mmに腫れた子宮の異常をエコー検査で発見!(黒くなっている部分です)

乳腺腫瘍と子宮蓄膿症の手術を同時にすることができました。

腫瘍の病理検査の結果も良性で一安心。