妊娠検査

  • 投稿日:
  • by
  • カテゴリ:

「発情していたので妊娠したかも?」

猫の妊娠検査にいらっしゃいました。

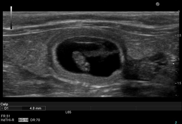
お腹の中をエコー検査してみるHIと・・・

直径約10mmの子宮の中に約4mmの胎児が見えます。

20100312090335.jpg

 

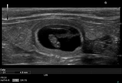
さらに詳しく、胎児の心臓の動きを観察してみると・・・

20100312090344.jpg

カラードプラ検査で、胎児の心臓の中の血流が赤青に色が付いて見えます。

胎児を包んでいる胎盤の中の血液の流れも赤青に色が付いて見えます。

約4mmの胎児の体の中の心臓が、力強く脈打っているのがよくわかります。

生命の力強さを感じる瞬間です。

超音波検査機器を「HI VISION AVIUS」という高性能な機種に変更したことで、さらに精密な検査ができるようになりました。

せとだ動物病院では、小さな体の中を検査することが出来る超音波検査機器が、循環器・腫瘍など、多くの病気の検査で日常診療に活躍しています。