• 投稿日:
  • by
  • カテゴリ:

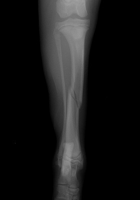
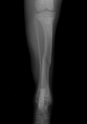
家の中で遊んでいると「キャイーン」という悲鳴と共に片方の足を地面に付く事が出来なくなり来院されました。レントゲンを撮り調べてみると骨折していることが判明。

Img5977-1.jpg

 

Img5978-1.jpg

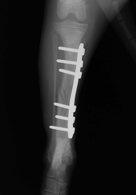
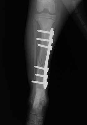
手術をして元の状態に骨を整復しました。

 

Img5979-1.jpg

 

Img5980-1.jpg

手術後の経過もとてもよく元気も、元に戻りましたが、家の中で遊ぶのも気をつけましょう!